ในช่วงเดือนกรกฎาคมที่ผ่านมาสำนักข่าวซินหัวของจีนได้รายงานว่าพบผู้ป่วยกาฬโรคต่อมน้ำเหลืองที่ Inner Mongolia ซึ่งเป็นพื้นที่ครอบครองของจีนที่อยู่ติดกับประเทศมองโกเลีย หลังการพบผู้ป่วย จีนได้ประกาศการควบคุมสถานการณ์การระบาดที่ระดับ 3 ซึ่งเป็นระดับต่ำจากทั้งหมด 4 ระดับ โดยการประกาศควบคุมสถานการณ์นี้จะใช้ไปจนถึงสิ้นปี 2563 การระบาดของโรคที่ครั้งหนึ่งเคยระบาดมาแล้วและกลับมาระบาดอีกครั้งภายหลังเวลาหลายปี ทางระบาดวิทยามีชื่ออย่างเป็นทางการให้ว่า “ โรคติดเชื้ออุบัติซ้ำ” โดยผู้ป่วยที่พบในการระบาดครั้งนี้ถูกวินิจฉัยว่าติดเชื้อจากการรับประทานตัวมาร์มอตแบบดิบ ซึ่งเป็นสัตว์ฟันแทะลักษณะคล้ายกระรอกขนาดใหญ่

ตัวแมมอต โดย Inklein, CC BY-SA 3.0, https://commons.wikimedia.org/w/index.php?curid=2675916
สิ่งที่เหมือนกันอย่างหนึ่งของการระบาดทั้งกาฬโรคและ COVID-19 คือพวกมันเริ่มต้นจากจีนและแพร่ไปทั่วโลก กาฬโรคระบาดครั้งแรกในคริสต์ศตวรรษที่ 6 เรียกการระบาดครั้งนี้ว่า “ Plague of Justinian ” หรือ “ กาฬโรคแห่งจัสติเนียน ” เป็นการระบาดผ่านการนำเข้าธัญพืชจากจีนสู่คอนสแตนติโนเปิลและแพร่สู่ฝรั่งเศส ทำให้ประชากรในยุโรปลดลงกว่า 50% ต่อมามีการระบาดซ้ำในคริสต์ศตวรรษที่ 14 เรียกว่า “ Great Plague” หรือ “ กาฬโรคครั้งใหญ่ ” เป็นการระบาดตามเส้นทางสายไหมเริ่มต้นจากอินเดียและจีนก่อนจะแพร่ทั่วเอเชีย, แอฟริกา และยุโรป การแพร่ระบาดของกาฬโรคในครั้งนี้ต่อเนื่องมาจนถึงคริสต์ศตวรรษที่ 17 ที่เรียกกันว่า “ Black Death ” ในครั้งนี้มีประชากรเสียชีวิตจากโรคนี้กว่า 25 ล้านคน และการระบาดครั้งสุดท้ายในประวัติศาสตร์คือช่วงศตวรรษที่ 19-20 เริ่มที่มณฑลยูนนาน ประเทศจีน มีการแพร่ระบาดไปทั่วโลกเช่นเคย และมีผู้เสียชีวิตมากกว่า 12 ล้านคนและในช่วงนี้เองที่ได้มีการค้นพบตัวการก่อกาฬโรคนั่นก็คือแบคทีเรีย Yersinea Pestis โดยผู้ที่ค้นพบคือแพทย์ชาวฝรั่งเศสนามว่า Alexandre Emile Jean Yersin
กาฬโรคนั้นมี 3 ประเภทด้วยกันคือ กาฬโรคต่อมน้ำเหลือง ( Bubonic Plague ) , กาฬโรคปอด
( Pneumonic Plague ) และกาฬโรคแบบติดเชื้อในกระแสเลือด ( Septicemia Plague ) ไม่ว่าจะเป็นกาฬโรคประเภทไหนก็มาจากเชื้อตัวเดียวกันต่างกันเพียงบริเวณที่ติดเชื้อ หรืออาจจะมีการติดเชื้อที่หนึ่งแล้วแพร่ไปอีกที่ก็เป็นได้ โดยเชื้อตัวการ Yersinea Pestis ตัวนี้เป็นเชื้อแบคทีเรียแกรมลบรูปร่างเป็นแท่ง มันมักจะอาศัยอยู่ในตัวพวกสัตว์ฟันแทะและเห็บหมัดที่เกาะบนตัวสัตว์พวกนั้นอีกทีโดยไม่ก่อโรคในสัตว์ที่มันอาศัยอยู่ เรียกเจ้าสัตว์พวกนี้ว่า Reservoirs ซึ่งได้แก่ กระรอก, หนู, แพรี่ด็อก และกระต่าย คงพอเห็นภาพกันแล้วว่าสัตว์ที่แบคทีเรียตัวนี้ชอบไปสิงสถิตก็คือพวกสัตว์ฟันแทะทั้งหลาย เมื่อคนสัมผัสกับสัตว์ที่ตายหรือมีการล่าสัตว์พวกนี้เพื่อเอาขน รวมทั้งการนำมา รับประทานโดยไม่ปรุงสุกก็ทำให้ติดเชื้อได้ บางรายก็โดนเห็บหมัดที่มีแบคทีเรียกัด ส่วนมากที่ติดเชื้อมักจะมาจากสัตว์เลี้ยงจำพวกแมวและสุนัขที่เข้าไปคลุกคลีกับหนูที่ติดเชื้อแล้วนำเชื้อมาแพร่ให้เจ้าของ ส่วนการแพร่เชื้อจากคนหนึ่งไปสู่อีกคนเป็นวงกว้างนั้นใช้รูปแบบเดียวกับ COVID-19 คือเมื่อผู้ป่วยติดเชื้อบริเวณปอดและมีการจาม การไอ แบคทีเรียเหล่านี้ก็จะล่องลอยไปกับละอองน้ำมูกหรือน้ำลายของเราทำให้ผู้ที่อยู่ใกล้ชิดได้รับเชื้อไปด้วย

เชื้อ Yersinea Pestis โดย https://microbewiki.kenyon.edu/index.php/File:3D_Yersinia_pestis_model.jpeg
กาฬโรคต่อมน้ำเหลืองนั้นผู้ป่วยมักจะมีอาการคล้ายเป็นไข้มีปวดหัว อ่อนแรง ที่สำคัญคือบริเวณต่อมน้ำเหลืองจะมีการบวมโตและปวดเนื่องจากเชื้อแบคทีเรียเข้าไปเพิ่มจำนวนในต่อมน้ำเหลือง

อาการต่อมน้ำเหลืองบวม By Photo Credit:Content Providers(s): CDC - This media comes from the Centers for Disease Control and Prevention's Public Health Image Library (PHIL), with identification number #2047.
กาฬโรคแบบติดเชื้อในกระแสเลือดอาการจะคล้ายกับกาฬโรคต่อมน้ำเหลืองแต่จะมีอาการปวดบริเวณช่องท้อง ช็อก และมีเลือดออกบริเวณใต้ผิวหนังและอวัยวะต่างๆได้ เมื่อมีการติดเชื้อในกระแสเลือดบริเวณผิวหนังและเนื้อเยื่อของผู้ป่วยจะเริ่มกลายเป็นสีเขียวโดยเฉพาะบริเวณปลายมือปลายเท้า

เนื้อเยื่อที่ติดเชื้อในกระแสเลือด By CDC - https://www.cdc.gov/plague/symptoms/index.html,
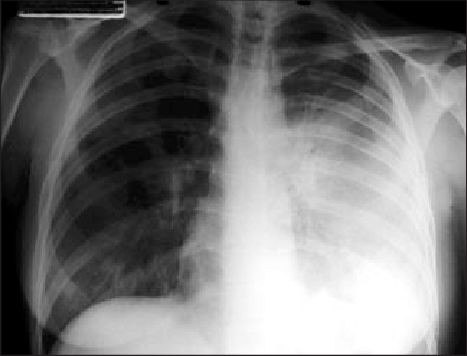
กาฬโรคปอดผู้ป่วยจะมีภาวะปอดบวม หายใจลำบาก เจ็บหน้าอก อาจมีน้ำมูกหรือเสมหะเป็นเลือด และอาจรุนแรงถึงขั้นระบหายใจล้มเหลว กาฬโรคปอดนั้นเป็นกาฬโรคชนิดเดียวที่สามารถส่งต่อจากคนหนึ่งไปอีกคนได้

ลักษณะปอดที่ติดเชื้อ By CDC - https://www.cdc.gov/plague/symptoms/index.html, Public Domain, https://commons.wikimedia.org/w/index.php?curid=63934944
reference :
Bettmann. (2010, September 17). Black Death. Retrieved July 9, 2020, from https://www.history.com/topics/middle-ages/black-death
CDC. (2020, July 23). Plague. Retrieved August 4, 2020, from https://www.cdc.gov/plague/index.html
Focus, H. (2014, August 15). กำเนิดและสิ้นสุดโรคระบาดร้ายแรงในอดีต ตอนที่ 1 กาฬโรค. Retrieved July 31, 2020, from https://www.hfocus.org/content/2014/08/7906
Grewal, K. (2020, July 07). All about the 'Black Death' Bubonic Plague that has China on high alert. Retrieved July 9, 2020, from https://theprint.in/theprint-essential/all-about-the-black-death-bubonic-plague-that-has-china-on-high-alert/455546/
Lawrenz, M. B. (2010). Model Systems to Study Plague Pathogenesis and Develop New Therapeutics. Frontiers in Microbiology, 1. doi:10.3389/fmicb.2010.00119
Ramzy, A. (2020, July 06). Bubonic Plague Found in a Herder in Inner Mongolia, China Says. Retrieved July 9, 2020, from https://www.nytimes.com/2020/07/06/world/asia/china-bubonic-plague-inner-mongolia.html
Yeung, J. (2020, July 07). Case of bubonic plague found in China's Inner Mongolia. Retrieved July 9, 2020, from https://edition.cnn.com/2020/07/06/asia/china-mongolia-bubonic-plague-intl-hnk-scli-scn/index.html
เข้าสู่ระบบเพื่อแสดงความคิดเห็น
Log in